Сосудистая деменция – приобретённое заболевание, которое характеризуется нарушениями психического характера, а именно – у больного ухудшается интеллект и исчезает социальная адаптация. Происходит это из-за поражения головного мозга в результате тех или иных заболеваний.
Онлайн консультация по заболеванию «Сосудистая деменция». Задайте бесплатно вопрос специалистам: Невролог.
- Этиология
- Классификация
- Симптоматика
- Диагностика
- Лечение
- Профилактика
Отмечается, что чаще всего деменция альцгеймеровского типа диагностируется у людей старше 60 лет, однако в последнее время болезнь «молодеет», причины такой динамики пока что не установлены.
Диагноз «сосудистая деменция» устанавливается на основании собранных данных в ходе первичного осмотра данных и после проведения всех необходимых диагностических мероприятий. В большинстве случаев происходит полная атрофия мозга, что делает патологический процесс необратимым.
Согласно Международной классификации болезней десятого пересмотра данное заболевание относится к разделу «психические расстройства и расстройства поведения», имеет своё собственное значение – код по МКБ-10 F00-F01.9.
Случаев самоизлечения или успешной терапии народными средствами относительно данного заболевания не установлено. Кроме этого, нужно понимать, что при такой форме деменции (слабоумия) у пожилых людей последним требуется постоянный уход и наблюдение.
Механизм развития патологии
Главную роль в развитии психических отклонений при деменции играют необратимые изменения структуры головного мозга из-за многочисленных сосудистых патологий, в результате которых развивается острая кислородная недостаточность (ишемия). Основные симптомы напрямую зависят от локализации очагов поражения.
Сосудистая деменция при появлении очагов ишемии в области:
- среднего мозга характеризуется помрачением и спутанностью сознания, нарушениями речи;
- гипокампа (в височной части головного мозга) – полной или частичной потерей памяти;
- лобных долей – потерей адекватности, развитием характерных психоэмоциональных реакций (зацикленность на фразе, действии);
- подкорки – утратой концентрации, навыков письма, счета, способностей к анализу и воспроизведению информации;
- в разных областях головного мозга чревато появлением тяжелой формы деменции с сочетанием множества симптомов психических и невротических нарушений.
Расположение различных структур мозга. Нажмите на фото для увеличения
Если очаг велик или расположен в узкоспециализированной зоне, а критическое нарушение кровоснабжения случилось внезапно (инсульт), то симптомы слабоумия могут проявиться достаточно быстро (через 2–3 месяца после приступа у 30%).
В других случаях заболевание прогрессирует медленно, проявляясь у пожилых людей (после 60–65 лет в 60%) с комплексом сопутствующих факторов риска (нарушения липидного обмена, сахарный диабет, артериальная гипертензия и т. п.).
Что это?
Сосудистая деменция — следствие неоднократных инсультов или хронической сосудистой недостаточности.
Под сосудистой деменцией понимают синдром с характерными грубыми изменениями познавательных функций вследствие перенесенных острых мозговых инфарктов (инсультов) или хронической сосудисто-мозговой недостаточности, приводящее человека к социальной дезадаптации, нарушению профессиональных навыков и самообслуживания.
- Она является второй по распространенности формой деменции;
- Составляет основную причину инвалидности и привязанности людей к обществу. Человек, в таком случае, нуждается в постоянной посторонней помощи и внимании близких, являясь физической, психологической и экономической проблемой;
- На первый план выходит выраженный когнитивный дефект (высших мозговых или психических функций), таким образом, происходят серьезные изменения в сфере памяти, интеллекта, поведенческих качеств, понимания речи, ориентировании в месте и собственной личности и нарушается способность приобретать, сохранять и использовать различные двигательные навыки (праксис). Все это оценивают по сравнению с исходным уровнем. Бывают случаи, когда память остается сохранной при значительно выраженных изменениях в других сферах. Ко всему этому добавляются эмоциональные и поведенческие расстройства. Изменения происходят на фоне ясного сознания по причине органического поражения вещества головного мозга – либо напрямую (по механизму изменения развития или травмы нервной ткани), либо опосредованно (сосудистый и токсический механизм) или возможного их сочетания;
- Составляет 10-15 % всех деменций;
- Наибольший пик развития данной патологии приходится на возраст старше 65 лет (от 5-25%).
Причины сосудистой деменции
К развитию деменции может привести ряд патологий:
- Острые нарушения мозгового кровообращения (ишемический и геморрагический инсульт).
- Хроническая ишемия головного мозга (длительное кислородное голодание).
- Амилоидная ангиопатия (заболевание сосудов с нарушением структуры сосудистой стенки).
- Инфекционные и аутоиммунные васкулиты (воспаление сосудистых стенок).
- Тромбоэмболия, тромбоз и атеросклероз сосудов, кровоснабжающих головной мозг (сужение просвета сонной артерии тромбом, атеросклеротической бляшкой более чем на 70% или полное его перекрытие в результате тромбоэмболии).
- Хроническая сердечная недостаточность (нарушение функций и строения сердца).
Все заболевания вызывают гибель клеток головного мозга из-за ишемии.
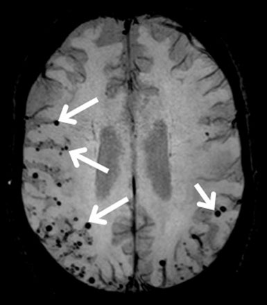
МРТ амилоидной ангиопатии. Белыми стрелками обозначены микрокровоизлияния, которые возникли в следствии отложения амилоидного белка
Факторы риска
Для развития сосудистых нарушений, которые могут стать причиной деменции, достаточно сочетания 2–3 из многочисленных факторов риска:
- возраста (60% больных слабоумием – люди в возрасте от 60 лет);
- артериальной гипертензии;
- нарушений обмена веществ (повышенный уровень холестерина, сахарный диабет);
- врожденных и приобретенных пороков сердца (желудочковые аритмии, дилатация камер сердца, нарушение проводимости миокарда);
- ишемической болезни сердца;
- варикозного расширения вен;
- черепно-мозговых травм;
- опухолей головного мозга;
- привычки курить;
- наследственной предрасположенности;
- половой принадлежности (сосудистая деменция в два раза чаще появляется у мужчин).
Ишемическая болезнь сердца – один из факторов риска развития сосудистой деменции
Некоторые специалисты считают факторами риска низкий социальный статус, отсутствие образования, специфику профессии (физический труд), невысокий уровень интеллектуального развития.
Другие факторы риска
В результате длительных исследований причин возникновения слабоумия ученые выделяют целый перечень факторов, предрасполагающих к деменции.
- Возраст старше 60-ти лет – около 90% случаев заболевания зафиксировано в этой возрастной категории.
Неправильно считать, что деменция – это болезнь исключительно пожилых людей. Среди ее жертв есть взрослые вдвое моложе 60-ти лет, нарушение когнитивных функций у которых наступило в результате черепно-мозговых травм и длительного злоупотребления алкоголем.
- Хроническое повышение или понижение артериального давления – приводит к инсультам, а они в свою очередь – к сосудистой деменции.
- Сахарный диабет – диабетики предрасположены к патологиям сосудов, чем это грозит – смотрите выше.
- Вредные привычки – курение и употребление алкоголя в неумеренных количествах являются прямой дорогой к сердечно-сосудистым заболеваниям, а, значит, и к повышению риска умственных нарушений.
- Отсутствие двигательной активности – исследование, проводившееся американскими учеными в течение четверти века, показало, что из 19 тысяч наблюдаемых, деменция сосудистого генеза развилась у тех, кто находился в плохой физической форме.
- Дисбаланс эстрогена – чрезмерное повышение или понижение уровня гормона в крови женщин после наступления менопаузы увеличивает риск появления когнитивных расстройств. Точного ответа на вопрос, почему так происходит, ученые пока не дают.
- Мужской пол – мужчины заболевают деменцией в полтора раза чаще, чем женщины.
Характерные симптомы
Симптомы заболевания проявляются по-разному, в зависимости от размеров, расположения и тяжести структурных изменений головного мозга. Выделяют три стадии развития сосудистой деменции с характерными проявлениями, которые могут быть почти незаметными или очень выраженными:
| Стадия | Признаки |
| 1. Легкая | Симптомы слабые. Время от времени окружающие замечают небольшие отклонения в поведении, появление некоторых странностей, однако они почти не влияют на качество жизни больного, он способен заботиться о себе и ведет активный образ жизни |
| 2. Средней тяжести, умеренная | Отклонения от нормы заметнее, проявляются потерей памяти, нарушениями мозговой деятельности, расстройством личности, бытовой беспомощностью, потерей трудоспособности из-за утраты навыков. На такой стадии качество жизни больного ухудшается, ему необходимы постоянный уход и наблюдение |
| 3. Тяжелая | Наблюдается полный психический распад личности (пропадает чувство стыда), больной не способен общаться, связно воспроизводить мысли, воспринимать окружающую реальность, контролировать свои действия, в том числе и элементарные физиологические отправления. Он полностью нетрудоспособен, беспомощен и нуждается в специализированном уходе |
В 80% патология прогрессирует постепенно, волнообразно, симптомы могут проявляться и угасать, создавая впечатление, что состояние больного нормализовалось. Однако это не так, в большинстве случаев (90–95%) деменция превращается в тяжелое психическое заболевание, которое ухудшает качество жизни и прогноз.
На какие симптомы нужно обратить внимание, особенно у пожилых и перенесших инсульт людей:
- На ухудшение памяти и концентрации внимания (больной помнит давние события, как вчерашние, и не способен сосредоточиться).
- Некачественный анализ и воспроизведение информации (больные с деменцией не способны вычленять главные и второстепенные детали, забывают суть, не улавливают смысл обращенной к ним речи).
- Расстройства речи (перестановка слогов, неправильное произношение слов, односложные ответы или несвязная болтовня), письма, чтения и счета.
- Сосудистая деменция становится причиной трудностей в освоении новых навыков и утраты элементарных (больной не способен выполнять простые бытовые действия, ухаживать за собой, готовить, есть, убирать в помещении, так как не помнит, как это делается).
- Трудности контактов с окружающими (больной уходит в себя, замыкается).
- Появление апатии, агрессии или неадекватных реакций (недоверчивость, скупость, подозрительность, непререкаемый консерватизм, беспричинная плаксивость).
- Спутанность и помрачение сознания (галлюцинации, бред).
- Нарушения походки (пошатывание).
- Мышечные парезы (паралич) и выраженное дрожание конечностей.
Крайними проявлениями сосудистой деменции могут стать припадки, напоминающие эпилептические, недержание мочи и кала, внезапные обмороки.
Распространённость различных видов деменции
Клиническая картина
Характерная особенность заболевания – развитие у пациента неврологических синдромов на фоне когнитивных расстройств. После инсульта нарушение познавательных способностей отмечается в течение 1-2 месяцев от начала заболевания. При хроническом нарушении мозгового кровотока период может занимать до 6 месяцев.
Выраженность и характер когнитивных расстройств определяется областью повреждения головного мозга. Однако выделяют следующую типичную симптоматику сосудистой деменции:
- Снижение памяти. Симптом развивается на начальных этапах деменции. Пациенты обычно забывают некоторые моменты из прошлого;
- Нарушение способности усваивать новый материал (движения и слова). Однако пассивное узнавание сохраняется на начальных стадиях;
- Расстройство речи. Вначале больные забывают некоторые слова, однако впоследствии пациенты не способны понять смысл речи. Постепенно человек теряет способность считать, писать и читать;
- Невозможность самообслуживания: пациенты не способны одеваться, выполнять гигиенические процедуры, готовить и принимать пищу;
- Замедление и ригидность мышления;
- Сложности с целенаправленным переключением и удержанием внимания;
- Нарушение ориентации в пространстве и времени;
- Эмоциональное недержание, приводящее к насильственному плачу, раздражительности, агрессивности. Данное состояние может вызывать депрессию и психозы.
Подробнее про симптомы деменции в нашей статье.
Смотрите также:
- Почечная недостаточность в пожилом возрасте
- Ишемический инсульт головного мозга: симптомы, прогноз, лечение
- Низкое давление у пожилых людей
Также у пациентов развиваются неврологические расстройства, которые могут быть ярко выраженными или практически незаметными. Многие больные отмечают изменение походки и частые падения, развитие парезов, нарушение контроля над функционированием тазовых органов, возникновение эпилептоидных припадков.
Важно! Деменция сосудистого типа характеризуется волнообразным течением – перечисленная симптоматика может прогрессировать, затем стабилизироваться. В редких случаях возможно кратковременное восстановление функций.
Диагностика
Диагностировать сосудистую деменцию сложно, ее симптомы сильно напоминают болезнь Альцгеймера.
| На предварительном этапе диагностики смотрят три основных признака | Чтобы подтвердить диагноз, необходимо |
| Нарушение мозгового кровообращения | Изучить историю болезни |
| Слабоумие | Произвести психодиагностическое тестирование |
| Выявляют связь между ними | Установить сосудистую патологию с помощью КТ, МРТ, допплерографии, ангиографии |
| Определить сопутствующие заболевания (артериальную гипертензию, сердечную недостаточность, сахарный диабет, атеросклероз) с помощью лабораторных исследований (анализов) и аппаратного мониторинга (ЭКГ, УЗИ) |
Диагностические мероприятия
При своевременной диагностике сосудистой деменции возможно полное выздоровление пациента. В остальных случаях правильно поставленный диагноз позволяет снизить скорость развития патологии. С данной целью в современной неврологии применяют такие диагностические мероприятия:
- Осмотр пациента, тщательный сбор анамнеза заболевания;
- Психологическое тестирование, чтобы определить наличие и выраженность нарушений;
- Мониторинг давления;
- Определение глюкозы и холестерина в кровяном русле, чтобы определить наличие сахарного диабета и атеросклероза;
- Радиоизотопное исследование;
- Проведение магнитно-резонансной или компьютерной томографии. Методики позволяют определить степень поражения тканей мозга;
- Допплерография сосудов мозга позволяет исследовать кровоток в головном мозге;
- Ангиография – рентгенография сосудов мозга.
Поставить точный диагноз можно только на основе комплексной диагностики и сопоставления полученных результатов.
Методы лечения
Вылечить сосудистую деменцию полностью невозможно, патология развивается на фоне необратимых функциональных и структурных изменений головного мозга.
При своевременном обращении, когда признаки только начали появляться, с помощью комплекса лекарственных средств и профилактических мер можно приостановить развитие слабоумия (в 5–10%). К сожалению, больные и их близкие замечают психические отклонения поздно, когда болезнь приобретает неконтролируемый характер.
Симптомы и лечение находятся в прямой зависимости друг от друга: алгоритм разрабатывают индивидуально, в зависимости от степени проявлений деменции и сопутствующих патологий. Цель лекарственной терапии:
- восстановить мозговое кровообращение и функции головного мозга;
- устранить факторы риска (перепады давления, нормализовать уровень сахара и липидов в крови);
- предотвратить развитие повторных приступов острой ишемии головного мозга.
| Название лекарственного средства | Для чего применяют |
| Церебролизин | Улучшить мозговое кровообращение |
| Лизиноприл | Нормализовать артериальное давление при гипертонии |
| Варфарин | Для профилактики тромбообразования |
| Трентал, аспирин | Предотвратить адгезию (слипание) эритроцитов и образование тромбов |
| Фитосед, седавит, персен | Снять беспокойство, нормализовать сон |
| Пентоксифиллин, реминил, арисепт, мемантин | Устранить симптомы деменции и восстановить работу головного мозга |
| Ловастатин, аторвастатин | Нормализовать количество липидов в крови |
| Амитриптилин | Устранить симптомы невроза, психоза |
Сосудистая деменция может спровоцировать нехарактерные реакции на седативные препараты и транквилизаторы, поэтому средства и дозировку необходимо корректировать, подбирая комплекс, который улучшает состояние пациента.
Профилактика
Профилактика сосудистой деменции заключается в следующих мероприятиях:
- предотвращение сердечно-сосудистых заболеваний;
- поддерживать достаточный уровень физической и интеллектуальной активности как в молодом, там и в пожилом возрасте;
- сбалансированное питание;
- исключение вредных привычек, умеренное употребление спиртных напитков;
- своевременное и правильное лечение всех заболеваний;
- при гипертонии — контроль давления, приём необходимых препаратов, систематическое посещение врача в профилактических целях.
На данный момент не существует препаратов, действие которых было бы направлено на полное устранение такого заболевания и обратимости тех патологических процессов, которые им вызваны.
Профилактические меры
Чтобы деменция не прогрессировала, ее нужно «увидеть» на ранних стадиях, в этом случае профилактические меры помогут приостановить развитие заболевания:
- групповая или индивидуальная психотерапия;
- медикаментозная коррекция артериальной гипертензии и прочих факторов риска;
- здоровый образ жизни;
- сбалансированная, низкохолестериновая (или низкоуглеводная диета), в зависимости от сопутствующих патологий;
- умеренная физическая активность (пешие прогулки);
- стимуляция умственной активности (тренировки памяти, чтение, заучивание стихов, разгадывание кроссвордов, изучение иностранных языков);
- отсутствие стрессов.
Прогноз и продолжительность жизни
Если патология была выявлена на ранней стадии, то в 15% случаях удается полностью излечить деменцию. В остальных случаях прогноз неблагоприятный – заболевание заканчивается летальным исходом. Продолжительность жизни зависит от многих факторов, поэтому ее сложно спрогнозировать.
Если заболевание развивается медленно, у больного длительное время сохраняются навыки повседневной жизни, то пациент может прожить до 20 лет с момента обнаружения патологии. При тяжелом течении продолжительность жизни редко превышает 7-8 лет.
Сосудистая деменция – патология, которая развивается на фоне острого или хронического нарушения мозгового кровотока. Заболевание постепенно приводит к распаду личности, потере когнитивных способностей. Однако действенная терапия, квалифицированный уход и постоянная забота о пациенте позволяют замедлить течение болезни, продлить жизнь больному.
Прогноз
Прогноз полностью зависит от степени функциональных и структурных изменений головного мозга. Если они многочисленные или серьезные – перспектива развития тяжелой сосудистой деменции составляет 98%. В этом случае сроки жизни сокращаются (умирает более 67% больных в течение 3 лет), больной становится полностью нетрудоспособным и нуждается в специализированном уходе.
Некритические изменения приводят к развитию легких форм слабоумия, которые на первых порах не слишком осложняют жизнь. Если лечение начать в этот период, можно устойчиво стабилизировать состояние больного, предотвратить дальнейший прогресс заболевания и сохранить его социальную и трудовую активность.
Однако это удается только в 5–10%, так как сами больные не замечают изменений, которые с ними происходят, а близкие не воспринимают их как тревожный сигнал. Поэтому лечить деменцию начинают на стадиях, когда психический распад личности предотвратить очень сложно или невозможно.
Стадии
Сосудистая деменция протекает в три стадии. Каждая имеет свои характерные признаки.
Ранняя стадия
Сам больной или родственники (чаще) замечают незначительное ухудшение памяти, забывчивость, рассеянность. Отмечаются трудности в подборе слов во время разговора, в принятии решений и при обращении с деньгами.
Настроение колеблется: апатичность, медлительность, тревожность и склонность к депрессии в обыденной жизни сочетается с агрессивностью и раздражительностью при взаимодействии с людьми (либо безразличием).
Вторая стадия
Больные демонстрируют забывчивость в отношении имён и событий, могут терять ориентацию вне жилья и дома, испытывают затруднения в коммуникации (понимании и речи). Самообслуживание невозможно – туалет, умывание, одевание требуют посторонней помощи.
Принципы терапии
Сосудистая деменция имеет разные симптомы, и лечение назначается, исходя из механизмов их появления. Медикаментозная терапия в первую очередь направлена на предупреждение инсульта (первого или повторного) и прогрессирования заболеваний сердца и сосудов. Также применяются препараты, положительно влияющие непосредственно на клетки мозга.
- Антиагрегантные лекарства – уменьшают риск образования тромбов.
- Антикоагулянты – используются при патологических изменениях в сердце.
- Антагонисты кальциевых каналов и лекарства из группы ноотропов – способствуют улучшению когнитивных функций.
- Антихолестеразные препараты – снижают уровень холестерина в крови.
- Лекарства против гипертонии – поддерживают нормальное давление.
- Антидепрессанты – назначают при появлении депрессии и других психических расстройств.
Лечение сосудистой деменции на первых двух стадиях заболевания более успешно при нахождении пациента в домашнем кругу. Однако оно должно проводиться под контролем врача и корректироваться, исходя из реакции больного на терапию.



